Skip to main content

Featured

What Parents Need To Know About Invisalign For Teens

  Teenagers may request Invisalign Teen braces when the time comes. Invisible clear aligners are more stunning and less noticeable than traditional metal braces. They are also more leisurely to clean, cost-effective, and durable. Plus, your teen feels more secure in social environments. In this article, you will understand why Invisalign Teenagers are trending. Let’s get going. Invisalign for Teens vs Invisalign for grown-ups  Invisalign For Teens  is similar to Invisalign for adults, but the two therapies differ significantly. Unlike Invisalign for grown-ups, the aligners used in Invisalign Teen have a smallish dot on the back. That dot will switch from blue to remove to white, relying on how often a teenager wears them. The more teenagers wear their Invisalign aligners, the more readily the dot's color will vary hues. Why do teenagers go for Invisalign?  Below are the numerous vital issues that arise when your teen always reminds you of the aligner way. Les...

Everything That You Should Know About The Tooth Abscess

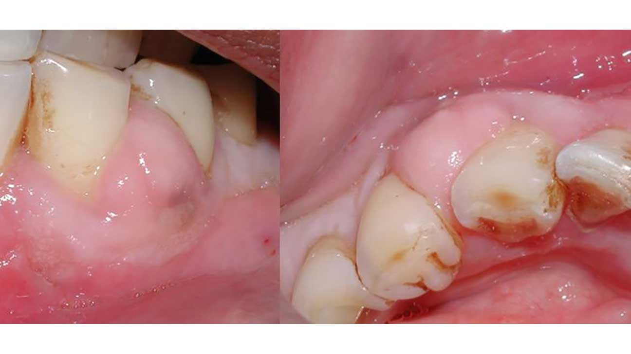
 Tooth Abscess is commonly due to bacterial infection that grows in the tooth's pulp, bad tooth decay, gingivitis, gum infection, broken teeth, or a misshaped root canal procedure. These dental problems can lead to the loss of the tooth's enamel, leading to the bacteria penetrating the pulp. Infection may move from the root of the tooth to the jaws.

 

Symptoms and signs are commonly seen in the abscess:

 

Symptoms are what somebody feels and tells about his or her health while symptoms are what details people, like a dentist or pericoronitis, may notice or detect. A gum abscess is diagnosed easily by the signs and symptoms told by the patient. If you are in doubt, meet the periodontist near me, and further diagnosis from conventional dental radiographs like X-rays. Typical signs and traits of a dental abscess are:

 

  1. Difficulty in breathing or chewing food.
  2. The foul smell even after brushing.
  3. General pain or metallic taste or feeling.
  4. Inflammation in the jawline.
  5. Open sore and tender skin.
  6. Frequent throat problem.
  7. Ache, throbbing, and tenacious toothache.
  8. Extreme sensation while having something hot and cold
  9. Spasm of the jaw muscles and chances to get TMJ
  10. Swelling, pain, and tender feeling around the mouth and face
  11. Swollen ear glands
  12. Sensitive gums
  13. tartar teeth.

 

You can consult Cosmetic Dentistry if your gums are puffed badly.

 

What is the reason behind the dental abscess:

 

The notable reason for contamination results from the development of germs in the tooth cavity affecting the tissues and bones of the neck. If you don’t take any step regarding the contaminated tooth and it is left untreated, tooth infection will frame and the disease may spread to the gums, jawbone, and different zones which can be serious. Any tooth can become an ulcer, yet the infected teeth are more inclined to create serious dental ailments due to the trouble to reach and clean them. More often than not, infected teeth are removed to keep away the inconveniences of dental soreness.

  

A dental abscess normally leads from the complexity of tooth decay or other reasons such as:

 

An injury that may lead to a chipped or broken tooth.

 

Dental procedures that get too near to the pulp chamber of the tooth particularly in the crown, filling, or in some cases of the root canal treatment.

 

Trauma to the tooth and the cases of the (Bruxism)

 

Prevention:

 

Prevention of tooth decay and being regular to the doctor can help you to avoid dental abscess. The following are some steps to take to have great dental health:

 

  1. Add extra care regime to your teeth by swishing mouth after every meal with the antiseptic or fluoride mouthwash
  2. Avoid sweet foods and drinks
  3. Brush and floss your teeth frequently as suggested by your dentist
  4. Make it a habit to visit your dentist for checkups and cleanings at least once in 6 months,
  5. Replace your toothbrush with an electric one for better cleaning
  6. Use anti-cavity toothpaste and fluoridated drinking water

Article Source :-  https://urbndental.wordpress.com/2021/05/22/everything-that-you-should-know-about-the-tooth-abscess/ 

Comments

Popular Posts